Crown and Bridge Work: What It Is, Why It’s Needed, and How It Works

crown and bridge-work

Introduction

Dental health is a critical aspect of overall well-being, and at times, you may need restorative treatments to maintain or restore your smile. Among the most common and effective solutions are crown and bridge work. These procedures help restore teeth that are damaged, decayed, or missing, and offer both aesthetic and functional benefits. In this article, we will explore what crown and bridge work entails, why it is needed, and how these procedures can help improve your dental health.

What is Crown and Bridge Work?

crown-and-bridge-work/

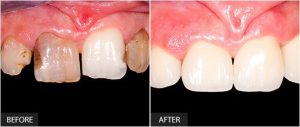
Crown Work: A dental crown, often referred to as a “cap,” is a restorative solution used to cover a damaged tooth, effectively restoring its shape, strength, and appearance. It is often used when a tooth is severely decayed, cracked, or worn down. Crowns can be made from various materials, including porcelain, ceramic, metal, or a combination, depending on the location of the tooth and the patient’s aesthetic needs.

Bridge Work: A dental bridge is a restoration that replaces one or more missing teeth by securing an artificial tooth (pontic) between two healthy teeth (abutments). A dental bridge is a great option for restoring missing teeth, preventing neighboring teeth from shifting, and improving chewing function. Like crowns, bridges are custom-made from materials like porcelain, metal, or a combination of both.

Why Do You Need Crown and Bridge Work?

Crown and bridge work is necessary for various reasons, including:

  1. Restoring Function: Missing or damaged teeth can significantly affect your ability to chew and speak. Crowns and bridges restore normal function by filling the gaps or covering damaged teeth.
  2. Preventing Tooth Shifting: Missing teeth can cause the surrounding teeth to shift out of place, leading to bite problems and potential tooth misalignment. A bridge helps prevent this issue.
  3. Aesthetic Improvement: Crowns are often used to improve the appearance of a tooth that is discolored, cracked, or misshaped. Both crowns and bridges can enhance the aesthetics of your smile.
  4. Protecting Weakened Teeth: If a tooth is extensively damaged, it may become weak and prone to breakage. A crown acts as a protective barrier to safeguard the tooth from further damage.
  5. Preventing Further Dental Issues: Both crowns and bridges help maintain the integrity of your mouth and prevent additional complications, such as gum disease or tooth decay.

The Procedure for Crown and Bridge Work

crown-and-bridge-work/

The process for crown and bridge work typically involves the following steps:

  1. Consultation and Examination: The first step is a consultation with your dentist to assess your dental needs. Your dentist will examine your teeth, take X-rays, and determine the best treatment plan.
  2. Tooth Preparation: For a crown, the affected tooth is reshaped to ensure the crown fits properly. For a bridge, the adjacent teeth (abutments) are prepared by reducing their size to accommodate the crowns that will hold the bridge in place.
  3. Impressions: Your dentist will take impressions of your teeth to create custom-made crowns or bridges that fit precisely in your mouth.
  4. Temporary Restorations: While waiting for the permanent restorations to be created, your dentist may place temporary crowns or bridges to protect the prepared teeth.
  5. Fitting and Adjustment: Once the permanent crowns and bridges are ready, your dentist will fit them, make any necessary adjustments, and ensure that they align properly with your bite.
  6. Final Placement: After confirming the fit, the crowns and bridges are permanently cemented in place.

How Long Do Crowns and Bridges Last?

Crowns and bridges are durable dental solutions, typically lasting between 5 to 15 years, depending on factors such as material choice, oral hygiene practices, and lifestyle. Proper care, including regular brushing, flossing, and visits to the dentist, can extend the life of your restoration.

Benefits of Crown and Bridge Work

crown-and-bridge-work/

  1. Long-Lasting Results: Both crowns and bridges are durable, providing long-lasting solutions for damaged or missing teeth.
  2. Improved Function: With restored teeth, you can enjoy better chewing and speaking functions.
  3. Aesthetic Enhancement: Crowns and bridges are designed to look natural, blending seamlessly with your existing teeth.
  4. Minimal Maintenance: Proper oral hygiene and regular dental checkups are usually sufficient to maintain your crown and bridge work for many years.

Potential Risks and Considerations

Although crown and bridge work is generally safe, some risks include:

  1. Sensitivity: After the procedure, you may experience temporary tooth sensitivity, especially to hot or cold foods.
  2. Gum Irritation: In some cases, the gums around the crown or bridge may become irritated.
  3. Wear and Tear: Over time, the material of the crown or bridge may wear down, requiring replacement.

crown-and-bridge-work/

Conclusion

Crown and bridge work are highly effective restorative dental procedures for improving both the function and appearance of your smile. Whether you’re dealing with a damaged tooth or missing teeth, these treatments can restore your oral health and confidence. Consult with your dentist to determine if crown and bridge work is the right option for you.

For optimal results, choose a skilled, experienced dentist to ensure the best possible outcome for your dental restoration.

Facebook
Twitter
LinkedIn

Leave a Comment

Your email address will not be published. Required fields are marked *

Dental Surgeon

Dr. Md. Ziauddin Sayem

  • BDS (D.D.C), MPH (Preventive Dentistry)
    Advance Training in Endodontics & Dental Implants (Thailand)
  • Assistant Professor
    City Dental College
  • Ex-Consultant Dental Surgeon
    Z.H. Sikder Women’s Medical College & Hospital
  • BMDC Reg. No: 2828

Clinic Information

FAIR DENTAL CARE

  • Address:
    18/D, Rankin Street (1st Floor), Wari, Dhaka-1203
    (North side from Wari Post Office)
  • Email: dr.sayemzia@gmail.com
  • Phone: +88 01911-674417
Scroll to Top